研究进展丨同济大学医学院银屑病研究所史玉玲郭春源教授团队揭示银屑病炎症新机制:角质形成细胞脂肪酸代谢重编程的关键作用
2025年8月29日,同济大学医学院银屑病研究所史玉玲/郭春源教授团队在Advanced Science杂志(IF=14.1)发表题为“Reprogramming of Fatty Acid Metabolism via PPARα-Orchestrated FADS2 in Keratinocytes Modulates Skin Inflammation in Psoriasis”的研究论文。该研究聚焦银屑病这一常见且易复发的慢性炎症性皮肤病,首次系统揭示了角质形成细胞中脂肪酸去饱和酶FADS2介导的脂肪酸代谢重编程在银屑病炎症调控中的核心作用,创新性地提出了“PPARα–FADS2–DHA–NF-κB”代谢–免疫调控轴,不仅深化了对银屑病发病机制的理解,也为开发靶向代谢–免疫互作的精准治疗策略提供了关键科学依据。

银屑病是一种常见且易复发的慢性炎症性皮肤病,全球患病率约2–3%,我国患者人数超过1000万,不仅严重影响患者的身心健康,也带来沉重的社会经济负担。尽管当前已有包括生物制剂在内的免疫抑制治疗手段,但其存在成本高、副作用明显、疗效衰减和复发等问题,迫切需要开发机制明确、靶点新颖、兼具安全性和实用性的治疗策略。近年来,皮肤局部代谢异常尤其是脂肪酸代谢紊乱被逐步认为是银屑病等炎症性皮肤病发生发展的重要因素。然而,在银屑病中其关键代谢酶及上游调控机制尚未明确。
该研究从皮肤局部代谢微环境入手,聚焦多不饱和脂肪酸(PUFA)代谢紊乱,通过整合公共转录组数据并结合临床样本验证,发现银屑病皮损中多个PUFA合成相关酶表达下调,其中FADS2-PUFA合成通路中的关键限速酶-下调最显著且一致,并在IL-23抑制剂治疗后其表达得到恢复,提示FADS2的缺失可能在银屑病发生发展中发挥核心作用,是驱动炎症持续加重的重要代谢异常因素。
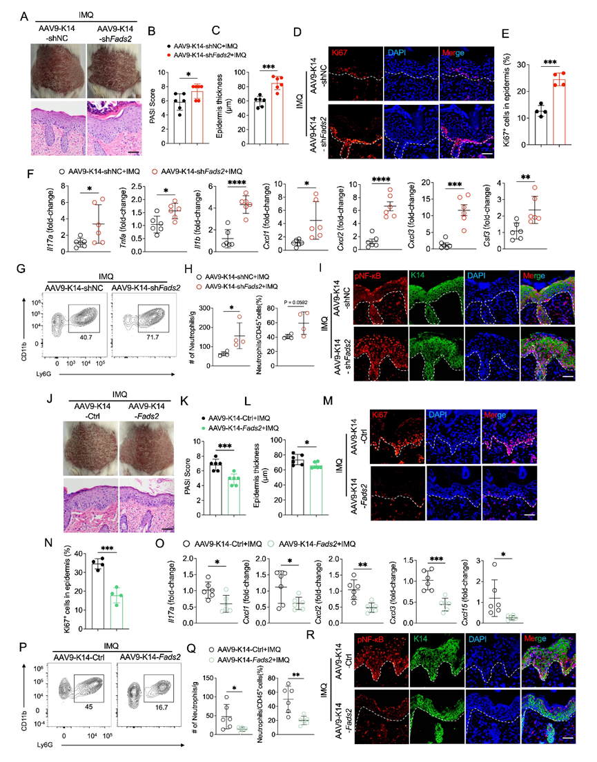
研究团队进一步通过AAV9-K14递送系统,在角质形成细胞中实现对FADS2的特异性调控。结果表明,沉默FADS2可显著加重小鼠银屑病样炎症,表现为表皮增厚、角质形成细胞异常增殖加剧,以及炎症因子和中性粒细胞趋化因子的上调;而在角质形成细胞中过表达 FADS2则能够显著减轻银屑病样炎症表型(图1)。

在机制层面,研究发现FADS2沉默可通过促进NF-κB p65磷酸化增强炎症因子和趋化因子的释放;相反,FADS2过表达则能有效抑制炎症反应。脂质组学分析显示,FADS2缺失会导致DHA合成受阻,打破了PUFA稳态;而外源性补充DHA可部分逆转其促炎效应,并抑制NF-κB p65的活化,证实“FADS2–DHA”轴是重要的内源性抗炎通路。
上游机制研究中,团队发现PPARα是FADS2的关键转录激活因子,其在银屑病皮损中与FADS2同步下调。沉默PPARα可降低FADS2的表达并加剧炎症;而使用PPARα选择性激动剂WY14643则可恢复FADS2表达并显著抑制炎症。值得注意的是,在FADS2缺失的背景下,WY14643的抗炎作用几乎消失,提示PPARα的抗炎效应依赖于FADS2。体内实验进一步验证,外用WY14643可显著改善银屑病样皮损,减轻表皮增厚和中性粒细胞浸润,抑制NF-κB活化并恢复FADS2表达,但该效果在FADS2沉默的条件下丧失。
综上所述,该研究首次在银屑病中构建“PPARα–FADS2–DHA–NF-κB”代谢-免疫调控轴,揭示FADS2在银屑病脂质代谢重编程中的核心地位,为银屑病治疗提供新靶点。同时,研究证实PPARα激动剂可通过代谢调控缓解银屑病炎症,开辟了"代谢-免疫"双向调控的治疗新策略,与传统免疫抑制疗法形成互补。该研究成果不仅深化了对银屑病发病机制的认知,更为开发机制明确、靶向性强、安全性高的代谢干预疗法提供了重要科学依据,具有重要的临床转化价值和广阔的应用前景。

上海市皮肤病医院/同济大学附属皮肤病医院郭春源副研究员为通讯作者,史玉玲教授和陆家睛副教授为共同通讯作者;蔡江鲁伊博士为第一作者,周雪、庄宇硕士及崔莲博士为共同第一作者。该研究得到了国家自然科学基金、上海市教委“科研创新计划”自科学重大项目和上海市科委等多项基金的资助。
文章链接https://advanced.onlinelibrary.wiley.com/doi/10.1002/advs.202417049

上海市皮肤病医院/同济大学附属皮肤病医院博士研究生,同济大学医学院银屑病研究所成员,师从史玉玲教授。研究方向为银屑病发病机制的基础与临床研究,重点围绕银屑病角质形成细胞代谢重编程及免疫应答调控机制。以第一或共同第一作者在Adv Sci, JAAD, STTT等国际期刊发表文章5篇。作为前三发明人,申请发明专利及实用新型专利共8项,其中已授权3项。曾获首届国际皮肤病学研究学会年会(ISID 2023)Travel Award、全国博士生学术会议优秀论文奖等学术荣誉,研究成果多次在中华医学会第二十九次皮肤性病学术年会、第八届皮肤科实验研究学会年会及美国皮肤病学研究学会年会(SID 2025)等国内外重要学术会议上进行口头报告或壁报展示。
